Dr Martin Zunde, a smiling male dentist in navy scrubs inside a London dental clinic

Composite Bonding

Get the smile youve always wanted with composite bonding

Book a consultation

Composite Bonding in London & Peterborough: Same-Day Smile Enhancements

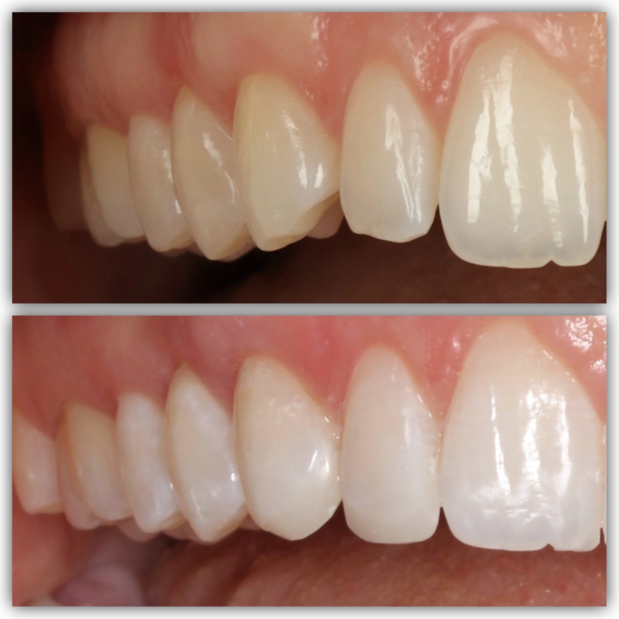
Before and after cosmetic dentistry showing upper front teeth with whitening and improved alignment by a cosmetic dentist in London
Close-up of teeth on a patients left side showing Before and after cosmetic dentistry showing upper front teeth with whitening and improved alignment by a cosmetic dentist in London
Close-up of teeth on a patients right side showing Before and after cosmetic dentistry showing upper front teeth with whitening and improved alignment by a cosmetic dentist in London

Composite bonding is a fast, minimally invasive way to transform your smile - often completed in just one visit. We use tooth-coloured resin to reshape and restore your teeth, correcting imperfections like:

  • Chipped or uneven edges

  • Gaps between teeth

  • Discolouration or staining

  • Minor misalignment or wear

This modern cosmetic treatment requires no drilling, no injections, and delivers immediate results — making it perfect for patients seeking subtle, affordable improvements with no downtime.

Whether you're getting ready for a big event or simply want to feel more confident every day, composite bonding offers a natural-looking enhancement without extensive dental work.

Book your composite bonding consultation in London or Peterborough today.

Composite Bonding FAQs

Still have questions about composite bonding? Contact us or schedule a consultation today.

  • Composite bonding typically lasts between 4 to 8 years, depending on how well you care for your teeth. Avoiding habits like nail biting, chewing hard foods, or using your teeth as tools can help extend the lifespan of your bonding.

  • No — one of the key benefits of composite bonding is that it’s non-invasive. In most cases, there’s no drilling or enamel removal, and the natural tooth structure is preserved entirely.

  • Not at all. Composite bonding is a painless procedure that usually requires no injections or anaesthesia. Most patients are surprised by how comfortable and quick the process is.

  • In many cases, composite bonding can be completed in just one appointment, making it an ideal option for busy professionals or special occasions.

  • Bonding material is stain-resistant, but not stain-proof. You can reduce the risk of discolouration by limiting exposure to coffee, red wine, tobacco, and highly pigmented foods — and by maintaining excellent oral hygiene.

  • Composite bonding is ideal for mild to moderate aesthetic concerns like chips, gaps, or minor misalignment. If you have more complex issues, we may recommend veneers or orthodontic treatment instead.

  • The cost of composite bonding in London or Peterborough will depend on how many teeth are treated and the complexity of the case although a rough estimate would be around £400 per tooth. We’ll provide a tailored quote during your consultation.

  • Absolutely. Composite bonding is often part of a smile makeover, and pairs well with teeth whitening, orthodontics, or veneers to achieve comprehensive results.

Male patient smiling after composite bonding treatment by cosmetic dentist in London

Looking for same-day results? Composite bonding could be the solution

Book a consultation